ホーム
当院について
治療方針
初めての方へ
無料診断
歯の豆知識
症例集
ミラクルフィット症例集
白い歯症例集
よくある質問 Q&A
スタッフ紹介
スタッフ紹介
院長ブログ
スタッフブログ
出版物など
院長が歯医者を目指した頃のお話
院長が患者だった頃のお話
アクセス
リンク
一般歯科
入れ歯治療(ミラクルフィット)
矯正歯科
予防歯科
歯周病治療
小児歯科
口腔外科
歯がなくなった場合
症例集
HOME
ブログ
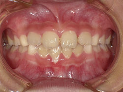
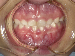
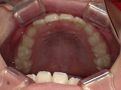
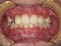
マイオブレース症例集
マイオブレース症例集
2019.01.01
マイオブレース症例集