グラディアダイレクトによる歯を削らない審美修復
グラディアダイレクト
神経を取ると歯の色が黒ずんでいきます。特に前の歯の場合はよく目立ち、なんとかしてほしという方がよく来院されます。

その場合、ホワイトニングではうまくいかず、裏側から内側をくりぬき薬剤を作用させるウォーキングブリーチという方法がありますが、効果以上に、ダメージの方が大きくなり、これまではあまりやりたくない方法でした。
ところが、グラディアダイレクトという新しい方法がとても効果的で患者さんに、とても喜んでもらえることがわかりました。
内容 :グラディアダイレクトというのは、〈健保適用外〉の光重合型審美修復用コンポジットレジンで、透明性の異なるペーストの積層築盛で、自然な美しさを再現できる材料です。
費用 :1歯、25,000円(税別)
期間 :1度診断し、色の仮り合わせをして、確認してもらい、次回の必要時間を決めます。
2回目の来院時にグラディアダイレクトの施術を行います。(40分くらいです)
副作用:歯を削らずに盛り上げるので、歯に厚みが出ます。(普通はほとんど感じません)
リスク :噛み合わせの具合により、破折することがまれにあります。
(1年保証。それ以降の修理は2~3,000円)
グラディアダイレクトの、いいことは、歯を削らなくてもいいという所です。型を採る必要もありません。とても安全で、歯にやさしい方法です。
施術は、40分くらいで完了できます。
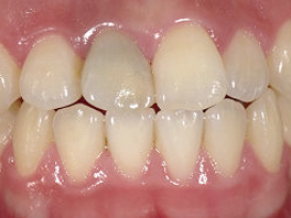
以下の30代の女性の方は、昔、右の前の歯の神経を取ったために色が黒くなり、長い間気にしていました。
ウォーキングブリーチという方法で行ってもあまり白くならなかった歯に、歯の表面を全く削らずに、グラディアで白くしてみました。

術前 ↓

術後
歯を削らないということが大きなポイントです。
削って被せると簡単にきれいにできますが、歯の寿命は間違いなく縮まります。若い女性にとってはこの方法は間違いなく正解だと思います。
費用も被せる方法の30%くらいですから、歯にやさしいし、財布にもやさしいというウィンウィンですね。
神経を取ると歯の色が黒ずんでいきます。特に前の歯の場合はよく目立ち、なんとかしてほしという方がよく来院されます。 神経を取ると歯の色が黒ずんでいきます。特に前の歯の場合はよく目立ち、なんとかしてほしという方がよく来院されます。
二人目の患者さんも30台の女性の方です。左の一番前の歯が黒いことを気にして来院されました。
この方は、ホワイトコートを希望されて来院されましたが、上の方のグラディアダイレクトの写真とこの後に紹介しているホワイトコートの写真を較べて、グラディアダイレクトをすることになりました。
今回は、歯並びは問題ないのですが、このことで逆に難しくなります。
詰めた分だけ厚みがでて唇に違和感が生じないかどうかです。
しかし、きわめて少ない量で、色を出すことができました。厚みもとても薄くでき、本人にもとても喜んでもらうことができました。
このケースもまったく歯を削っていません。
術前 ↓

術後
隣の歯に合わせて、あまり白くせずに自然な色にしました。
ご本人様からも、とてもすばらしい方法なので、他の方にも教えてあげてほしいということで、快くHPに乗せる承諾をもらいました。
3人目の方も30台の女性の方です。右の一番前の歯が黒いことを気にして来院されました。
この方は、セラミックの歯を被せてほしいということで来院されましたが、グラディアダイレクトは歯を削る必要がないことを説明すると、歯を大切にしたいという思いで、グラディアダイレクトをすることになりました。
術前 ↓

術後
本人の希望で少し白めに仕上げています。この後にホワイトニングをすると回りの歯も白くなってさらに良くなるでしょう。
------------------------------------
ホワイトコートは、以下のような色調で、自然ではありませんが、多くの方に喜んでもらっていました。これまでは他に方法がなかったので、やむおえません。
このホワイトコートは、3ヶ月くらいで部分的にはがれてきますが、運がよければ1年以上はがれずに維持できています。歯は全く削りません。
術前 ↓

術後
見た目は、やはり グラディアダイレクトには及びません。
今回のグラディアダイレクトは、歯の表面の処理方法や接着方法がホワイトコートよりも優れているので、数年は問題なく維持できると思っています。
おそらくこれからは、見た目の自然さから、ホワイトコートを選ぶ患者さんは減り、グラディアダイレクトに変わっていくと思います。
------------------------------------
次の方は、歯を全く削らずにきれいにしてほしいということで、大阪から来られた患者さんの左上の前の歯4本を、グラディアで白くしてみました。
歯を全く削らず、表面をナノシールで処理して、グラディアで30分くらいの施術でした。
術前 ↓

術後
右側のすでに被せてある茶色く変色している歯は、大阪の家の近くの歯医者さんで、今回白くなった色に合わせて、被せなおしてもらうとのことです。